ANATOMÍA NORMAL (CT)
Mostramos una serie de cortes de CT que van progresando a distintos niveles de la vía aérea de un paciente, identificando la anatomia normal.
CORTE A NIVEL DE LA NASOFARINGE (CAVUM)

1.nasofaringe (cavum); 2. senos maxilares; 3. tabique nasal; 4. corenetes; 5.vía aérea fosas nasales; 6. trompa de Eustaquio; 7. rama mandibular
CORTE A NIVEL DEL BORDE ALVEOLAR DEL MAXILAR SUPERIOR

1.orofaringe; 2.paladar blando; úvula; 3.musculatura intrínseca lengua; 4. borde alveolar maxilar sup; 5.rama mandibular; 6.vena yugular interna; 7.músculo masetero; 8.glándula parótida
CORTE A NIVEL DEL SUELO DE LA BOCA

1.orofaringe; 2.mandíbula; 3.base de la lengua; 4.suelo de la boca; 5.vena yugular interna; 6.arteria carótida interna; 7.arteria carótida externa
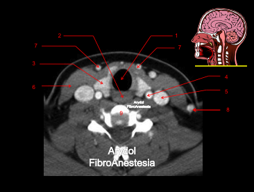
CORTE A NIVEL DEL BORDE LIBRE DE LA EPÍGLOTIS

1.mandíbula; 2.borde libre de la epíglotis; 3. vallécula derecha; 4.glándula submaxilar; 5.arteria carótida bifurcada (interna y externa); 6.vena yugular interna; 7.cuerpo vertebral; 8.músculo esternocleidomastoideo; 9.músculos suelo de la boca
CORTE A NIVEL DE VALLÉCULAS Y HUESO HIOIDES

1.Hueso hioides; 2.vallécula derecha; 3.vallécula izquierda; 4.luz laríngea; 5.epíglotis; 6.mandíbula; 7.ligamento glosoepiglótico medial; 8.arterias carótidas interna y externa; 9.músculo esternocleidomastoideo; 10.vena yugular interna; 11.glándula submaxilar; 12.vertebra.
CORTE A NIVEL DE LOS SENOS PIRIFORMES Y PIE DE LA EPÍGLOTIS

1.cara laríngea de la epíglotis (pie de la epiglotis); 2.cartílago tiroides (lámina no osificada); 3.músculo esternocleidomastoideo; 4.músculos prelaríngeos; 5.repliegue ariepiglótico; 6.senos piriformes derecho e izquierdo; 7.luz laríngea; 8.arterias carótidas interna y externa; 9. vena yugular interna; 10.músculo constrictor faríngeo; 11.vértebra
CORTE A NIVEL DE LA GLOTIS

1.comisura anterior; 2.cuerda vocal; 3.aritenoides; 4.cartílago tiroides; 5.cartílago cricoides; 6.comisura posterior; 7.hipofaringe-boca esofágica; 8.glotis (espacio glótico); 9.arteria carótida común; 10.vena yugular interna; 11.músculo esternocleidomastoideo; 12.vértebra
CORTE A NIVEL DE LA SUBGLOTIS Y CARTÍLAGO CRICOIDES

1.Membrana cricotiroidea, 2.arco cricoideo posterior; 3.asta inferior cartílago cricoides; 4.hipofaringe-esófago; 5.glándula tiroides; 6.arteria carótida común; 7.vena yugular interna; 8.músculo esternocleidomastoideo; 9.luz laríngea; 10.vértebra
CORTE A NIVEL DE LA TRÁQUEA CERVICAL

1.luz traqueal; 2.esófago; 3.glándula tiroides; 4.arteria carótida común; 5.vena yugular interna; 6.músculo esternocleidomastoideo; 7.venas yugulares anteriores; 8.vena yugular externa; 9.vértebra
RECONSTRUCCIONES TRIDIMENSIONALES DE LA VÍA AÉREA
IMÁGENES CEDIDAS POR:
Dr. J. de Vergas Gutiérrez. Servicio de Otorrinolaringología.
Dr. J. M. Millán Juncos . Servicio de Radiodiagnóstico.
Hospital Universitario 12 de Octubre.
MADRID. España.




