JULIO
- En este estudio se comparó como objetivo primario, el tiempo de intubación en pacientes obesos (IMC>35) usando el videolaringoscopio Glidescope vs la mascarilla laríngea Fastrach.
- Se reclutaron un total de 100 pacientes, distribuidos de forma aleatoria para ser intubados con uno u otro método. Se permitían dos intentos de intubación con el método elegido, si no se conseguía la intubación, se realizaba un tercer intento con el método contrario.
- El tiempo medio de intubación fue de 49 segundos con el Glidescope vs 61 con la Fastrach (NS). Un total de 92% de pacientes en el grupo de Glidescope y 84% en el de FT fueron intubados en el primer intento.Como técnica de rescate el GS fallo en un paciente, por 5 fallos con la FT. Hubo una intubación esofágica en el grupo de GS y 6 en el grupo FT. No hubo diferencias en cuanto al daño de mucosas, dificultad de intubación, , dolor o disfonia postoperatoria.
- Concluyen que ambos métodos son similares, y deben ser considerados como igualmente adecuados para el manejo del paciente obeso.
- Ninguna publicación en relación al manejo de vía aérea durante este mes.
- Ninguna publicación en relación al manejo de vía aérea durante este mes.
- Ninguna publicación en relación al manejo de vía aérea durante este mes.
- Ninguna publicación en relación al manejo de vía aérea durante este mes.
- En el presente estudio se analiza el uso de la mascarilla laringea Supreme en pacientes obstetricas no obesas, que precisaron una cesarea con anestesia general, con al menos 4 horas de ayuno y premedicadas con citrato sódico y antiH2.
- De los 700 casos 576 fueron electivos y 124 urgentes. El dispositivo supraglótico siempre fue efectivo, con 686 casos (98%) exitosos al primer intento y un tiempo medio de establecimiento de vía aérea efectiva de 19,5 segundos.
- Se mantuvo un buen sellado y oxigenación en todas las pacientes, sin evidencia de aspiración gástrica. 18 pacientes (2,6%) presentaban sangre en la cazoleta del DSG tras su retirada, 24 (3,4%) tuvieron dolor de garganta. La satisfacción media de las pacientes fue de 85/100. Siendo los resultados similares para los casos urgentes y electivos.
- Concluyen que en un grupo cuidadosamente seleccionados de parturientas la LMA Supreme puede ser una alternativa válida a la intubación endotraqueal, en caso de anestesia general para cesárea, proporcionando ventilación efectiva y escasos efectos secundarios.
- Interesantísima revisión que pone al día el uso de guías a través de DSG para conseguir la intubación.
- Trata los siguientes dispositivos:
- Aintree
- Guía con o sin catéter
- Bougie: a ciegas o con fibroscopio
- TET de tamaño pequeño
- Disponible de forma completa en nuestra sección de imprescindibles.
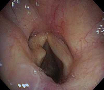
- Se presenta un curioso caso clínico en el que tras la colocación de una mascarilla laríngea Air-Q a un paciente de 75 años para realizar un EBUS, el broncoscopista evidenció una deformidad de la parte media de la cuerda vocal izquierda que inicialmente fue achacada a una cirugía previa.

Deformidad de cuerda vocal izquierda localizada al paso de fibroscopio a través del dispositivo supraglótico.
- La simple recolección del DSG, hizo que dicha deformidad se corrigiera, con ausencia de disfonia o ronquera en el postoperatorio inmediato.
- Concluyen que se debe realizar diagnostico diferencial con la fuerza ejercida por el DSG cuando se evidencia una deformidad de cuerda vocal al paso del fibroscopio por dicho DSG:












